🌟 உலகின் முதல் புதுமையான மருத்துவ ஆய்வு: “மல மாத்திரைகள்” மூலம் கணைய புற்றுநோய் சிகிச்சை 🌟
🌟 முன்னுரை 🌟
இந்தக் கட்டுரை சிலருக்கு வித்தியாசமாகத் தோன்றலாம் 🌈, ஆனால் அறிவியல் நமக்கு ஒரு அழகிய உண்மையைச் சொல்கிறது—மலத்தில் மறைந்திருக்கும் நுண்ணுயிரிகள் உயிர்களைக் காக்கும் மகத்தான ஆற்றல் கொண்டவை 🌱. ஒரு சிறு மலப்பொட்டலத்தில் புதிய வாழ்வைப் பரிசளிக்கும் மருத்துவ அதிசயம் ஒளிந்துள்ளது 💊. இந்த மகிழ்ச்சியான பயணத்தை அறிய உங்களை அழைக்கிறோம்! ✨
🌍 உலகின் முதல் மருத்துவ பரிசோதனை: “மல மாத்திரைகள்” மூலம் மேம்பட்ட கணைய புற்றுநோய்க்கு சிகிச்சை 🌍
லண்டன் நகரில் உள்ள லாசன் ஆராய்ச்சி நிறுவனம் (Lawson Research Institute) மற்றும் லண்டன் ஹெல்த் சயின்ஸ் சென்டர் ஆராய்ச்சி நிறுவனம் (LHSCRI) ஆகியவற்றைச் சேர்ந்த அறிவியலாளர்கள் 🌟, உலகில் முதன்முறையாக ஒரு புரட்சிகரமான மருத்துவ ஆய்வைத் தொடங்கியுள்ளனர். இதில், ஆரோக்கியமான தன்னார்வலர்களின் குடல் நுண்ணுயிரிகளை (microbes) பயன்படுத்தி தயாரிக்கப்பட்ட சிறப்பு மாத்திரைகள் மூலம் 💊, மேம்பட்ட கணைய புற்றுநோயால் பாதிக்கப்பட்டவர்களுக்கு கீமோதெரபி சிகிச்சையின் பலனை அதிகரிக்க முயல்கின்றனர். இந்த மாத்திரைகள் மல நுண்ணுயிரி மாற்று சிகிச்சை (Fecal Microbiota Transplantation – FMT) என்ற முறையை அடிப்படையாகக் கொண்டவை 🌿.
🩺 கணைய புற்றுநோயின் சவால் 🩺

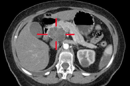
ஆதாரம்: ஜெர்மன் விக்கிபீடியாவில் MBQ
சி.டி ஸ்கேனர் பிரிவு, ஒரு மாறுபட்ட ஊடகத்தின் நரம்பு ஊசி போட்ட பிறகு, கணையத்தின் தலைப்பகுதியில் ஒரு அடினோகார்சினோமா புற்றுநோய் கட்டியைக் காட்டுகிறது.
“கணைய புற்றுநோய் என்பது மிகவும் கொடியது 😔. ஐந்து ஆண்டுகளில் வெறும் 10 சதவீத நோயாளிகளே உயிர் பிழைக்கின்றனர். அடுத்த சில ஆண்டுகளில் கனடாவில் புற்றுநோயால் ஏற்படும் மரணங்களில் இது மூன்றாவது முக்கிய காரணமாக மாறலாம்,” என்கிறார் டாக்டர் ஜான் லெனெஹான் 👨⚕️, LHSCRI-யின் அறிவியலாளரும், வெர்ஸ்பீட்டன் குடும்ப புற்றுநோய் மையத்தில் மருத்துவ புற்றுநோயியல் நிபுணருமானவர். “இந்த ஆய்வு மூலம், நோயாளிகளுக்கு ஒரு புதுமையான, நம்பிக்கை தரும் சிகிச்சையை வழங்க விரும்புகிறோம் 🌼,” என்று அவர் உறுதியுடன் கூறுகிறார்.
🌟 புற்றுநோய்க்கு எதிரான நுண்ணுயிரிகளின் சக்தி 🌟
புற்றுநோய் கட்டிகளுக்குள் பாக்டீரியா, வைரஸ்கள் மற்றும் பூஞ்சைகள் போன்ற நுண்ணுயிரிகளின் சிறிய சமூகம் இருப்பது ஆராய்ச்சியில் தெரியவந்துள்ளது 🔬. இவை புற்றுநோயை கீமோதெரபி போன்ற சிகிச்சைகளுக்கு எதிராக பாதுகாக்க உதவுகின்றன ⚔️. ஆரம்பகட்ட ஆய்வுகள், LND101 என்ற இந்த மாத்திரைகள் மூலம் மல நுண்ணுயிரி மாற்று சிகிச்சை செய்யும்போது, கட்டியின் நுண்ணுயிரி கலவை மாறி, சிகிச்சைக்கு சாதகமாக பதிலளிக்கலாம் எனக் காட்டுகின்றன 🌈. இது ஒரு புதிய நம்பிக்கைக் கீற்று!
💊 “மல மாத்திரைகள்” எப்படி செயல்படுகின்றன? 💊
இந்த முதல் கட்ட பாதுகாப்பு பரிசோதனை (Phase I Safety Trial) இரண்டு ஆண்டுகளுக்கு நடைபெறும் ⏳. வெர்ஸ்பீட்டன் புற்றுநோய் மையத்தில் இருந்து சில நோயாளிகள் இதில் பங்கேற்பார்கள் 🤝. இதற்காக, ஆரோக்கியமான நன்கொடையாளர்களிடம் இருந்து மலம் சேகரிக்கப்பட்டு, ஆய்வகத்தில் சுத்திகரிக்கப்பட்டு, சுவையோ வாசனையோ இல்லாத மாத்திரைகளாக உருவாக்கப்படுகிறது 🧪. இவை நோயாளிகளுக்கு வழங்கப்படும். இதன் நோக்கம், நோயாளியின் குடல் நுண்ணுயிரிகளை (microbiome) மேம்படுத்தி 🌿, நோயெதிர்ப்பு சக்தியை தூண்டுவதோடு 💪, கீமோதெரபியின் பலனை அதிகரிப்பதாகும்.
“இந்த மாத்திரைகள் மூலம் கணைய புற்றுநோயாளிகளின் குடல் நுண்ணுயிரிகள் எவ்வாறு மாறுகின்றன, அது அவர்களின் நோயெதிர்ப்பு மண்டலத்தை எப்படி பாதிக்கிறது என்பதை ஆராய்வோம் 🔍. குடல் நுண்ணுயிரிகளில் நல்ல மாற்றம் ஏற்பட்டால், கீமோதெரபிக்கு சிறப்பான பலன் கிடைக்குமா என்பதே எங்கள் இலக்கு 🎯,” என்கிறார் டாக்டர் சமன் மாலேகி 👨🔬, LHSCRI-யின் அறிவியலாளர்.
🌟 மற்ற புற்றுநோய்களில் வெற்றி 🌟
இந்த LND101 மாத்திரைகள் லாசன் நிறுவனத்தில் உருவாக்கப்பட்டவை 💡. முன்னதாக, மெலனோமா (தோல் புற்றுநோய்) உள்ளிட்ட பல புற்றுநோய்களுக்கு இவை நம்பிக்கையளிக்கும் முடிவுகளைக் காட்டியுள்ளன ✅. இந்த FMT திட்டத்தை வழிநடத்துபவர்கள், டாக்டர் மைக்கேல் சில்வர்மேன் (லாசன் அறிவியலாளர் மற்றும் தொற்று நோய் பிரிவு மருத்துவ இயக்குநர்) 👨⚕️ மற்றும் டாக்டர் சீமா நாயர் பார்வதி (லாசன் இணை அறிவியலாளர்) 👩🔬.

“மெலனோமா, நுரையீரல் புற்றுநோய், சிறுநீரக புற்றுநோய் போன்றவற்றுக்கு இந்த சிகிச்சை பாதுகாப்பானது மற்றும் சிறப்பான பலனை அளிப்பதாக முந்தைய ஆய்வுகள் காட்டியுள்ளன 🏆,” என்கிறார் பார்வதி. “கணைய புற்றுநோயிலும் இதே வெற்றியை எதிர்பார்க்கிறோம் 🌟,” என்று அவர் நம்பிக்கையுடன் கூறுகிறார். மலம் நன்கொடையாளர்களின் பங்களிப்பு இந்த புரட்சிகர ஆராய்ச்சியின் முதுகெலும்பு என அவர் பாராட்டுகிறார் 🙏.
🌼 முடிவுரை 🌼
இது ஒரு மருத்துவ ஆய்வு மட்டுமல்ல; நம்பிக்கையின் புதிய பயணம் 🚀. ஒரு சிறிய மாத்திரையில் மறைந்திருக்கும் நுண்ணுயிரிகள், மனித உயிர்களை காக்கும் பெரும் சக்தியாக மாறலாம் 💖. கணைய புற்றுநோயால் துன்பப்படுவோருக்கு இது ஒரு ஒளிக்கீற்று—அறிவியலும் மனிதநேயமும் இணைந்து புதிய எல்லைகளை தொடும் அழகிய முயற்சி! 🌍✨
“நாம் நமது குடல் நுண்ணுயிரிகளின் சக்தியைக் கண்டறிந்து, நோயை வென்று, வாழ்வை மீட்டெடுக்க முடியும்!” 🌟💪
இந்தக்கட்டுரையை உங்கள் நண்பருக்குப் பகிரலாமே :

